Турал Рагимов травмировал обе руки в поединке с Иваном Бучингером

Автор: Комментарии Комментарии Коротко о главном
Турал Рагимов травмировал обе руки в поединке с Иваном Бучингером

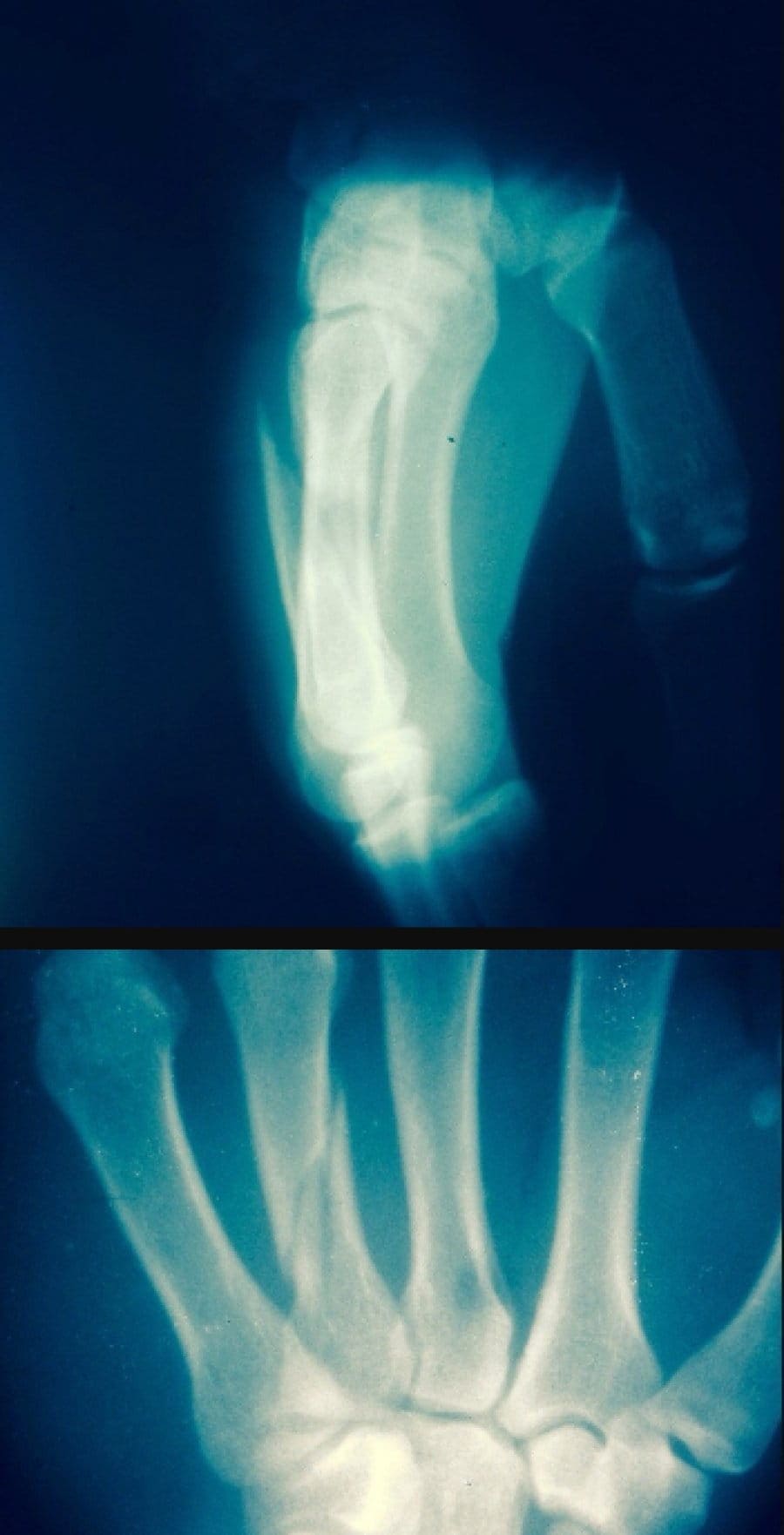
Перелом пальцев со смещением на левой руке и разрыв связок на правой помешали россиянину Туралу Рагимову продолжить бескомпромиссную битву за пояс чемпиона M-1 Challenge в полулегком весе со словаком Иваном Бучингером. Боец, его тренер и секунданты уже вернулись из больницы. На левую руку наложен гипс, правая - жестко зафиксирована, сообщает mixfight.ru.

Материалы по теме